22cm 特大子宫肌瘤困扰多年,市五院妇产专家一朝手术化险为夷
来源:妇产科 李健霞发布日期: 2025-05-30
近日,石家庄市第五医院妇产科团队成功为一名患有特大子宫肌瘤的患者实施高难度切除手术,医护人员高度的责任感、精湛的医术和贴心的服务让患者和家属深受感动。这场手术不仅展现了医院妇产科在疑难病症领域的救治实力,更诠释了医患之间温暖互信的真挚情谊。
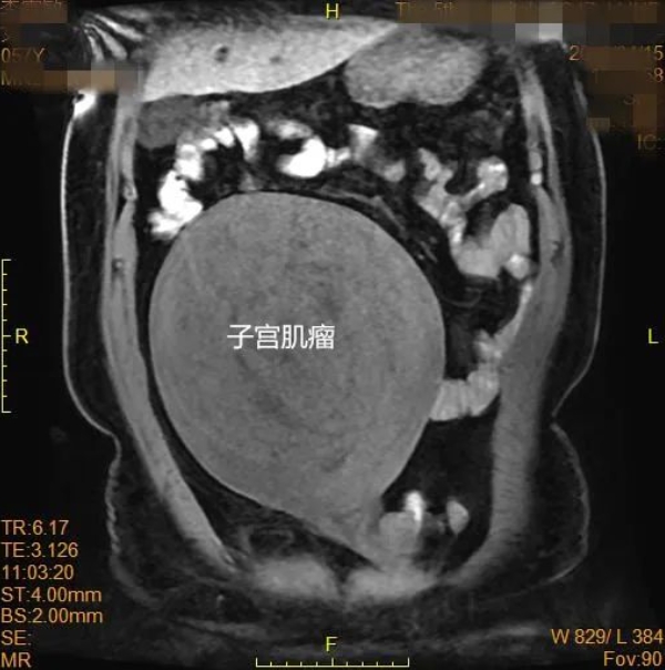
患者王女士,今年57岁,子宫肌瘤病史长达6年。近年来肌瘤迅速增大,腹部隆起如孕8个月,同时伴有严重贫血、腹胀及排尿困难,日常生活备受煎熬。她辗转多家医院,均因肿瘤体积过大、手术风险高被建议保守治疗。经亲友推荐,王女士抱着一线希望来到石家庄市第五医院妇产科求诊。

妇产科主任赵玉婵为患者进行了详细检查,患者子宫肌瘤直径超过22cm,占据整个盆腔并压迫多脏器,手术难度极大,若不及时切除,随时可能引发大出血或器官衰竭。面对患者强烈的治疗意愿,“尽早安排手术!”赵玉婵主任本着对患者高度负责的态度果断发出指令。她带领团队医护人员迎难而上,迅速组织会诊,制定了周密的手术方案和应急预案。

经过充分的术前准备,手术如期进行。术中可见肌瘤与周围血管、肠道及膀胱紧密粘连,稍有不慎即可能引发大出血或损伤。赵玉婵带领医护团队,凭借丰富的经验和娴熟的技术,精准剥离肿瘤,成功止血,同时完整保留了患者的子宫。手术历时3小时,重达6斤多的肌瘤被成功切除,术中出血量仅300ml,远低于预期,手术圆满顺利!
“没想到手术这么顺利,第二天就能下床活动!”王女士术后恢复迅速,贫血症状明显改善,一周后康复出院。病理报告显示肿瘤为良性,压在她心里的一块大石头终于落了地。

“是市五院医护人员给了我第二次生命!”出院前,王女士将感谢信和锦旗送到妇产科医护人员手中。哽咽道,“住院期间,从主任到护士,每个人都在鼓励我,知道我心里烦,医生护士来查房、治疗都轻声细语……”患者曾因恐惧手术、害怕预后,经常偷偷哭泣,科里的医护人员轮流对她进行心理疏导,列举成功案例增强她的治疗信心。
石家庄市第五医院妇产科团队始终秉承“以患者为中心”的服务理念,不断学习钻研新技术,急危重症救治能力显著提升。赵玉婵主任表示,这次成功救治特大肌瘤患者,标志着医院妇产科在复杂疑难、急危重症妇科患者救治能力方面达到了新的高度。
妇产科介绍
石家庄市第五医院为乙肝病毒携带者和乙肝孕产妇、艾滋病、梅毒、重症肝炎等法定传染病孕产妇定点收治医院,被河北省卫生健康委员会授予“河北省消除艾滋病、梅毒和乙肝母婴传播定点医院”。
医院拥有70余年肝病诊疗的丰富临床经验,妇产科联合肝病专业、检验专业及科研团队等多学科强大诊疗实力,逐步形成了以开展“乙肝、艾滋病、梅毒母婴阻断和妊娠合并重症肝炎、妊娠期肝内胆汁淤积症、妊娠合并肝硬化”等疑难、危重症诊断和救治为主的诊疗特色,救治成功率较高,有效降低孕产妇死亡率及婴儿慢性乙型肝炎发病率,奠定了在河北省传染病孕产妇救治领域的领先地位。
母婴阻断技术
2008年,率先在省内开展乙肝母婴传播阻断技术,成功率高。医院积极开展“母婴阻断技术”研究,参与撰写的相关SCI论文在全球生物医学顶级期刊发表,影响因子72.4,美国、欧洲、印度等肝脏研究协会均采用了此科研成果。此外,医院在艾滋病、梅毒的母婴阻断方面取得突破性进展。
产科救治经验丰富
科室开展妊娠合并各类传染病的孕前咨询、孕期保健及母婴阻断,已为上万名乙肝孕产妇成功阻断,让她们拥有了健康的孩子;在妊娠期急性脂肪肝、妊娠期高血压疾病、重症肝炎、糖尿病等急危重症抢救方面经验丰富;科室开展阴道分娩、无痛阴道分娩、剖宫产等手术,孕产妇可放心选择。
微波消融治疗子宫肌瘤和子宫腺肌症
在超声引导下将消融针直接穿刺至子宫瘤体内,利用微波(射频)的局部致热效应,短时间内使局部肿瘤组织温度升高,发生不可逆性凝固坏死,并保留子宫。医院开展超声介入20余年,练就了精湛的穿刺消融技术,精准度达2mm,达到省内领先水平。
石家庄市第五医院
与新中国同龄,有70余年治疗肝病、结核病的历史;
集传染病诊断、治疗、急救、科研、教学、预防、保健及重大公共卫生事件救治于一体的三级传染病专科医院;
省市医保定点医院;
无假日医院,节假日期间各种诊疗活动正常进行,方便患者随时就诊;
花园式医院,绿化率达到35%以上,是患者治疗、康复、休闲的场所。
把信任交我们手中 让健康从这里开始
相关信息














