小牙齿为什么呈锯齿状?
来源:石家庄市第五医院发布日期: 2023-06-23
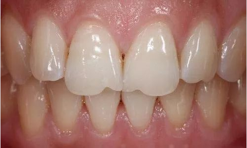
很多家长有一个疑问,为什么孩子换牙后,长出来的牙齿是锯齿状的,会不会影响孩子的咀嚼功能,需要治疗吗?
幼儿替换恒牙时,上下门牙萌出时切端呈锯齿状,我们将锯齿称之为牙齿的发育结节,它属于牙齿的正常解剖形态。锯齿随着进食的磨耗,会逐渐磨平,因此锯齿不是病,不需要处理。一般锯齿状的乳牙萌出后,大约2年会在自然咬合咀嚼的过程中自然磨平。

细致的家长可能还注意到,这些小锯齿都是分三叶的,这是因为牙齿在原始胚胎发育的时候是由三个发育叶融合形成的,融合不完全的部分就形成了锯齿。
在换牙期间因为锯齿牙而盲目补钙也是没有必要的。因为牙齿在萌出之后,钙化已经基本完成,虽然牙齿在后续的生长过程中还存在进一步钙化的过程,但这种钙化程度有限,而且并不是依靠食物摄取获得的。

但是有一种牙是不正常的,被称为瓜子牙。这种牙和锯齿牙很类似,多数发生在成年人的前门牙。这种牙的出现大多是因为后天长期嗑瓜子或咬硬物,造成牙齿的机械系磨损缺口,这种牙是不正常的,可以通过美牙修复解决。
石家庄市第五医院
与新中国同龄,有70余年治疗肝病、结核病的历史;
集传染病诊断、治疗、急救、科研、教学、预防、保健及重大公共卫生事件救治于一体的三级传染病专科医院;
省市医保定点医院;
无假日医院,节假日期间各种诊疗活动正常进行,方便患者随时就诊;
花园式医院,绿化率达到35%以上,是患者治疗、康复、休闲的场所。
把信任交我们手中 让健康从这里开始
相关信息
五院专家讲堂 | 流感来袭!流感≠感冒,专家教你正确应对!
2025 - 11 - 21
世界慢阻肺日 | 别让“呼吸”变负担!
2025 - 11 - 19
如何做好皮肤炭疽患者的护理
2025 - 10 - 28
五院专家讲堂 | 让皮肤变黑的炭疽是什么病?该如何防治?
2025 - 10 - 27
五院专家讲堂 | 及早发现 及时就医,警惕输入性疟疾的“夺命危险”
2025 - 10 - 19
“精准诊断+综合治疗”成功阻击“脑中虫”:石家庄市第五医院感染二科成功诊治一例脑囊虫病患者
2025 - 10 - 09














