子宫肌瘤等良性病变的微创消融治疗
发布日期: 2023-09-12什么是子宫肌瘤和子宫腺肌病
子宫肌瘤和子宫腺肌病为是女性常见子宫良性病变。
子宫肌瘤是子宫平滑肌组织增生而形成的良性肿瘤,病因尚不明确,可能与遗传因素、性激素水平等功能失调有关,超过40岁、初潮年龄小、没有生育、晚育、肥胖、激素补充治疗等人群属于子宫肌瘤的高发人群。
子宫腺肌病是指具有生长功能的子宫内膜组织出现在子宫肌层,异位内膜在子宫肌层多呈弥漫性生长,无包膜、边界不清、累及子宫后壁居多,多发生于30~50岁经产妇女,主要症状为经量过多、经期延长、逐渐加重的继发性痛经。病因尚不明确,可能与妊娠、刮宫术、人流及分娩等导致的子宫内膜基底层损伤,子宫内膜-肌层结合带内环境稳定性遭到破坏,基底层防御功能减退等因素有关。
外科手术治疗的弊端
子宫肌瘤和子宫腺肌病是以往临床上子宫切除最常见的原因。随着医学技术进步,微创治疗理念逐渐在临床治疗中起到至关重要的导向作用,使得微创治疗技术在子宫肌瘤这类良性肿瘤上的应用得到快速发展。
外科手术切除,包括子宫全切、肌瘤剔除术。肌瘤剔除术后可能导致盆腔黏连,给肌瘤复发后再次手术带来困难;子宫全切因创伤大、使育龄妇女丧失生育能力等缺点不易被患者接受,子宫全切还可能导致内分泌紊乱、术后盆腔黏连腹痛等潜在因素,因此外科手术逐渐被微创治疗技术所取代。
微创消融治疗的优势
目前常用的微创治疗技术包括射频消融、微波消融、聚桂醇治疗等。
微波消融和射频消融都属于热消融技术,利用微波(射频)的局部致热效应,在短时间内使得肿瘤局部组织温度迅速升高至70~90度,组织细胞在高温作用下迅速脱水发生凝固性坏死。微波消融的优点是升温速度快,单次消融范围大、治疗时间短,局部只留有一个2mm的针孔。具有创伤小、痛苦小、效果好等优点,为大量有生育意愿、不愿或不宜切除子宫的患者带来了希望,达到了即保留子宫,又消灭了肌瘤的目的。
微波(射频)消融适应证:经超声检查明确诊断的子宫肌瘤、子宫腺肌瘤;伴月经过多、继发性贫血、痛经、腹痛、压迫症状之一;肌瘤>5cm;有安全的经腹壁穿刺路径。

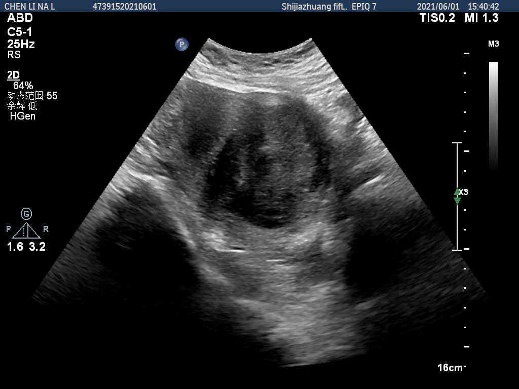
图1 子宫肌瘤治疗前,肿瘤大小。

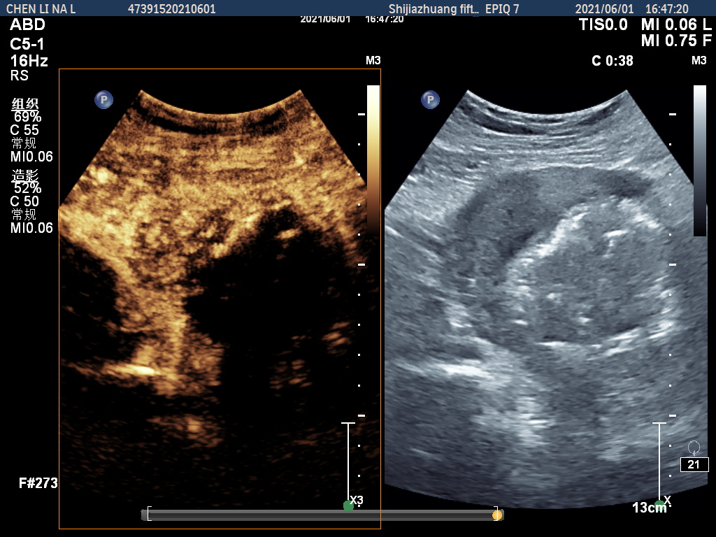
图2 子宫肌瘤微波消融术后超声造影显示瘤体内无造影剂

图3 子宫肌瘤消融术后15个月复查子宫形态恢复正常,子宫肌瘤几乎消失。
石家庄市第五医院
与新中国同龄,有70余年治疗肝病、结核病的历史;
集传染病诊断、治疗、急救、科研、教学、预防、保健及重大公共卫生事件救治于一体的三级传染病专科医院;
省市医保定点医院;
无假日医院,节假日期间各种诊疗活动正常进行,方便患者随时就诊;
花园式医院,绿化率达到35%以上,是患者治疗、康复、休闲的场所。
把信任交我们手中 让健康从这里开始
- 上一篇: ERCP技术——经内镜逆行胰胆管造影术
- 下一篇: 肿瘤深部热疗和全身热疗技术
相关信息








